糖尿病網膜症とは
網膜は眼底にある薄い神経の膜で、ものを見るために重要な役割をしています。網膜には光や色を感じる神経細胞が敷きつめられ、無数の細かい血管が張り巡らされています。血糖が高い状態が長く続くと、網膜の細い血管は少しずつ損傷を受け、変形したり、詰まったりします。その結果、網膜に症状が出てきます。

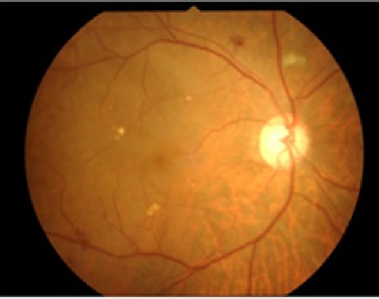
初期(単純糖尿病網膜症)の段階では血管にコブ(血管瘤)を形成したり、点状の小さな出血をおこします。また出血に含まれるタンパク質や脂肪が網膜にシミを形成することもあります。この時期には自覚症状はほとんどありません。
病期が進行し中期(前増殖糖尿病網膜症)になると、細い血管が広範囲で閉塞し、網膜に十分な酸素が行き渡らなくなり、足りなくなった酸素を供給するために新しい血管(新生血管)を作り出す準備を始めます。この時期には、かすみ目や視力低下を認める場合がありますが、全く自覚症状がない場合もあります。
さらに進行し後期(増殖膜糖尿病網膜症)になると、新生血管が網膜や硝子体に向かって伸びてきます。新生血管の壁が破れると、硝子体に出血することがあります。硝子体は眼球の中の大部分を占める透明な組織です。ここに出血が起こると、視野に黒い影やゴミの様なものが見える飛蚊症と呼ばれる症状を自覚したり、出血量が多いと急な視力低下を自覚したりします。また、増殖組織といわれる線維性の膜が出現し、これが網膜を引っ張って網膜剥離(牽引性網膜剥離)を起こし、失明に至る場合もあります。

原因
糖尿病では糖が血管に障害を与え、血管は詰まりやすくなり破けやすくなります。 特に目の網膜の毛細血管は体の中で一番細いため、症状が他の部位より出やすいです。 網膜には酸素を運ぶための毛細血管がたくさん存在しますが、血流が悪くなると網膜が酸素不足となるために、体の反応として新生血管を作ろうとしますが、この新生血管は構造が未熟なため、非常に破けやすくたびたび出血します。 その結果、かすみ目や視力低下の原因となります。
※若い方ほど糖尿病網膜症は進行が早いため、注意が必要です。
治療
糖尿病網膜症はその程度(病期)によって治療方法が異なります。
初期のでは、血糖値のコントロールがメインとなるので、内科的治療のほか食事制限などを行います。
-
1レーザー光凝固術
中期では、初期での治療に加え未熟な血管新生を抑制する目的で、網膜の血流が少ない部分(虚血部分)にレーザー光を照射する網膜光凝固術を行います。これは網膜が機能するのに必要な酸素量を減らすのが目的で、レーザーの照射は外来診察で受けることができます。網膜光凝固術は早い時期であればかなり有効で、将来の失明予防のために大切な治療です。

-
2抗VEGF硝子体注射(薬物治療)
脈絡膜新生血管の発生には血管内皮増殖因子(vascular endothelial growth factor:VEGF)が関係していると考えられており、VEGFを阻害することにより脈絡膜新生血管を退縮させる治療法です。
現在認可されているVEGF阻害薬にはマクジェン®、ルセンティス®、アイリーア®という3種類の薬があり、いずれも目の中(硝子体腔)に6週あるいは4週ごとに2~3回注射します。その後は定期的に診察をして、脈絡膜新生血管の活動性がみられれば再度注射を行います。次に述べる光線力学的療法と組み合わせて治療を行うことがあります。
-
3硝子体手術
レーザー治療で網膜症の進行を予防できなかった場合や、すでに網膜症が進行して網膜剥離や硝子体出血が起こった場合に対して行われる治療です。眼球に3つの穴をあけて細い手術器具を挿入し、目の中の出血や増殖組織を取り除いたり、剥離した網膜を元に戻したりするものです。顕微鏡下での細かい操作を要し、眼科領域では高度なレベルの手術となります。 そのため、すべての医療機関で行えるというわけではありません。
糖尿病網膜症は早い段階で発見できれば、治療も少なくまた治療効果も高くなります。 なので、早期発見・早期治療が何よりも大切です。


